Opstrukcije su anatomsko-patološki problem a hirurški domen. Od hirurgije se očekuje da brojnim pacijentima omogući da naredne godine i decenije provedu mirno spavajući bez hrkanja. Danas postoji samo jedan put kojima bučni spavači mogu biti izlečeni, a ne samo donekle tretirani, a to je rez za miran san. Ovo ne treba da znači da svako sa dijagnozom ronhopatije treba da žuri pod nož. Operacija nemora biti najbolja opcija za svakog pacijenta, ali je opcija koju zaslužuje svako da ima ko želi da kaže hrkanju zbogom zauvek. |
| Operacijom bi trebali da proširimo suženi dio disajnog puta i da ga ostavimo dovoljno otvorenim i stabilnim tokom cele noći,svake noći. Nekada nije moguće jednom hirurškom intervencijom modifikovati sva ta suženja, te se držima principa "proširiti najpre mesto najvećeg suženja" a kasnije utvrditi da li ima potrebe za naknadnim operacijama. Ako hrkanja više nema, ili ono nije više problem smatramo da je operacija uspela. Svaki pacijent se mora posmatrati individualno jer je svaki "slučaj sam za sebe". Ne postoji jedna intervencija za sve pacijente, niti se svi pacijenti mogu tretirati istom operacijom. Uvek i najpre treba rešiti nazalnu opstrukciju, a potom na osnovu dijagnostičkog kriterija eliminisati druge nivoe okluzije. Samo rešavanje nazalne patologoje daće poboljšanje i do 20% slučajeva. Operacije na velofaringealnom kompleksu, tipa uvulopalatofaringoplastike, koje su prve uvedene u svetu, daće solidne rezultate u oko 80% pacijenata, ako je u pitanju samo permanentno hrkanje, a u 60% ako je udruženo sa apnejom spavanja. Najbolji hirurški rezultati se postižu maksilo-mandibularnom ostetotomijom, to jest pomeranjem gornje i donje vilice prema napred. Metoda je morbidna i teška, te iziskuje spicifične uslove rada i odgovarajući profil stručnjaka. Intervencije na bazi jezika, hioidnoj kosti i mišiću dilatatoru ždrela su predvidjene za rešavanje retrolingvalne opstrukcije. Uspeh ovih intervencija, ako je mesto okluzije baza jezika je u oko 70%. Kombinovanim metodama koje se izvode na nepcu i bazi jezika dobijaju se nešto bolji rezultati. Pridržavajući se dijagnostičko-hirurškog protokola koji podrazumeva prethodno markiranje mesta opstrukcije a potom njegovo hirurško proširenje uspeh ne bi trebao izostati. |
Operacije tipa uvulopalatofaringoplastike |
![]() |
Operacije tipa uvulopalatofaringoplastike traju oko 40 minuta. Prilikom ove intervencije ostranjuju se krajnici, resica, deo slobodnog ruba mekog nepca i prednji lukovi, a stražnji nepčani lukovi se reduciraju. Operacijom se proširuje orofaringealni vazdušni put a pri radu koristimo radiofrekventne talase 4.0Mhz, koji nam omogućavaju precizan, siguran i skoro beskrvan rad. |
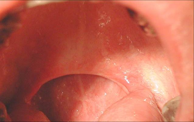
Lokalni nalaz u ždrelu tri meseca nakon uvulopalatofaringoplastike |
![]() ![]() |
| Komplikacije ove operacije se najčešće ispoljavaju u vidu velofaringealne insuficijencije i faringealne stenoze, koje zahtevaju dodatne tretmane.Bol, infekcija, promene u boji glasa i otežano gutanje se mogu javiti prvih dana nakon intervencije i obično su privremenog karaktera, dok krvarenje, koje može biti rano i kasno, može kompromitovati operaciju. Glavni problem ovih intervencija su njeni nestabilni rezultati. U početku uspeh je znatno veći. Sa godinama koje slede isti opada iz neobjašnjivih razloga. Misli se da povećanje telesne težine i mlitavost mišića vilice i ždrela koji dolaze sa godinama favorizuju takav rezultat. Intervencija se ne preporučuje mladjim od 20 ni starijim od 70 godina života. |
![]() Lokalni nalaz u ždrelu četiri meseca nakon operacije po dr. Vukoju je sličan kao kod uvulopalatofaringoplastike, stim što se ne ostranjuje deo nepca i resica već se inkorporiraju u lokalni flap. Metodom proširujemo disajni put i ojačavamo slobodni rub nepca čineći ga stabilnijim i otpornijim na vibracije. Daje bolje rezultate u odnosu na druge intervencije na velofaringealnom segmentu. Hirurške intervencije se mogu izvoditi klasičnim rezom, primenom lasera ili radifrekventnih talasa. Mi koristimo Sugitron Ellman 4,0 MhZ, za koji mislimo da ima niz prednosti u odnosu na druge elektro-hirurške aparate. |
Prim. Dr Novak Vukoje prvi je u bivšoj Jugoslaviji operisao pacijenta koji je patio od notornog hrkanja i noćnog gušenja. Izveo je preko hiljadu hirurških intervencija kod bučnih spavača. Dr. Vukoje ima vlastitu inovativnu tehniku za rešenje uvulo-palatinalne opstrukcije za koju je dobio zlatnu medalju od Medjunarodnog zirija na Medjunarodnom salonu inovacija u Moskvi 2008 god. Ubeđen je da daleka budućnost lećenja ovih sindroma nije u hirurškim postupcima, mada oni u ovoj fazi razvoja medicinske nauke ostaju primarni. Ovom delu ljudske patologije kod nas se još uvek ne pridaje dovoljno pažnje. |



